Lompat ke konten Lompat ke sidebar Lompat ke footer

Widget HTML #1

Veneers El Paso Tx

At sun ridge smiles we offer composite resin porcelain veneers at the affordable cost in el paso tx. The veneers at redd road family dental in el paso tx are made from high quality porcelain that can be color matched to your surrounding teeth producing natural looking results.

Veneers El Paso Tx Stein Dentistry

Porcelain veneers provided by el paso tx dentists as a solution for patients with less than perfect teeth.

Veneers el paso tx. If youre interested in our el paso veneers to help give you an even more beautiful smile we hope youll get in touch with us. To schedule a consultation with our dentists you can give us a call at 915 800 7704 for our westside office or 915 800 7393 for our eastside office. For more information about the benefits of porcelain veneers or to schedule an appointment call the sunny smiles office nearest you in el paso tx today. Please dont hesitate to let. Book an appointment today. Our dental team can use veneers to conceal almost any surface level cosmetic issue including chips cracks misalignment gaps and stains. Dental veneers cover discolored teeth broken and chipped. We have offices in east and northeast el paso and happily welcome patients from all nearby communities including chaparral canutillo vinton and sunland park new mexico. Contact your el paso dentist. Deboer offers porcelain veneers as a solution for patients with less than perfect teeth. El paso tx prosthodontist dr.

Veneers Lumineers Dentist

Porcelain Veneers El Paso Tx Legacy Dental

Smile Gallery El Paso Tx

Braces Orthodontics In El Paso Tx Pebble Hills Dental Care

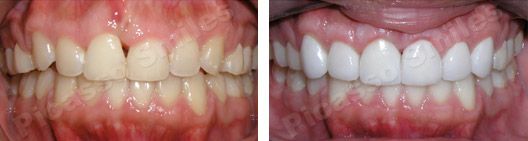
Dental Veneers El Paso Cosmetic Dentists Picasso Smiles Dental

Porcelain Veneers In 2020 Dental Cosmetics Dental Veneers

Teeth Veneers El Paso Tx El Paso Modern Dentistry

Porcelain Veneers In El Paso A Permanent And Beautiful Solution

Dental Veneers El Paso Cosmetic Dentists Picasso Smiles Dental

Dental Veneers El Paso Tx Composite Resin Porcelain Veneer Near Me

Veneers El Paso Tx Porcelain Ceramic And Composite Veneers

Pin On Cosmetics

El Paso Dentists Explain How Custom Veneers Make A New Smile

Services Celebrity Smiles East El Paso Tx Dentist

Braces Orthodontics In El Paso Tx Pebble Hills Dental Care

El Paso Cosmetic Dentistry Pershing Family Dental Dentist El

Porcelain Veneers El Paso Tx Veneers Redd Road Family Dental

Dental Veneers El Paso Tx Composite Resin Porcelain Veneer Near Me

Cosmetic Dentistry El Paso Tx In 2020 Dental Veneers Veneers

Dr Darj Dental El Paso Tx Dentist

Dentist El Paso Tx El Paso Viva Dental Cosmetic General

Cosmetic Dentistry In El Paso Texas By Cosmetic Dentist Dr Castro

Porcelain Veneers El Paso Tx Peak Family Dental

Veneers Cost

Veneers Dental El Paso Dentist Bliss Family Dentistry

Visit Drdancastro Net Dental Implants El Paso Cosmetic

Cosmetic Dentist El Paso Tx Smile Makeovers With Whitening

El Paso Dentists Offer A Beautiful Smile With Veneers El Paso Tx

Dentist Teeth Whitening El Paso Tx Stein Dentistry

Services Celebrity Smiles East El Paso Tx Dentist

Dentist El Paso Tx El Paso Modern Dentistry

Dental Veneers El Paso Cosmetic Dentists Picasso Smiles Dental

Cosmetic Dentistry In El Paso Texas By Cosmetic Dentist Dr Castro

Cosmetic Dentistry El Paso Tx Cosmetic Dental Surgery And Clinic

R2x2 Ekvgbyjpm

Ways To Improve Your Smile Veneers Kfox

Porcelain Veneers Ambiance Family Dentistry Orthodontics

Cosmetic Dentist In El Paso Dyer Dental Care Dentist In

Porcelain Veneers El Paso Tx Peak Family Dental

Veneers In El Paso Juarez Porcelain Dental Veneers

Cosmetic Dentistry In El Paso Tx Best Cosmetic Dentist

Meet Dr Mclaughlin El Paso Quality Dentistry

Non Cosmetic Reasons To Consider Veneers Mehrnoosh Darj Dds

El Paso Cosmetic Dentistry Pershing Family Dental Dentist El

Ask Your El Paso Cosmetic Dentist Smile Makeovers Aren T Just For

Cosmetic Dentistry El Paso Hillside Dental Family Dentist

Porcelain Veneers El Paso Tx Veneers Redd Road Family Dental

Bad Veneers

Services Green Family Dental Dentist In East El Paso Tx

Dental Veneers A Revolution In The Field Of Cosmetic Dentistry

Orthodontics Unmasking Veneers Dentistryiq

El Paso Konqrete Stone Veneer Home Facebook

Rio Grande Dental Dentist Mexico In Juarez Mexico Read 5 Reviews

Veneers El Paso Tx Stein Dentistry

Cosmetic Dentistry El Paso Tx El Paso Smile Center

Porcelain Veneers El Paso Quality Dentistry

Dental Bonding El Paso Dentist Bliss Family Dentistry

Ledge Stone Veneer El Paso Texas Ef Building Materials Inc

The Stone Works Co Stone Veneer Landscape Company El Paso

Porcelain Veneers Awesome Smiles

Cosmetic Dentistry El Paso Valley Dental Care Lower Valley East

Dental Crowns In El Paso Providing Crowns Bridges And Veneers

11509 Stockmeyer Dr El Paso Tx 79936 Zillow

Braces El Paso Tx 79936 Invisalign El Paso Attention El Paso

Affordable El Paso Tx Dentist 29 Exam Digital X Rays

Dentist El Paso Tx El Paso Modern Dentistry

Dentist El Paso Tx Comfortable Dental Care For The Entire Family

Dental Crowns In El Paso Tx Best Teeth Crowns Sol Dental

Preparing For Big Smile Changes With Porcelain Veneers El Paso Tx

Cosmetic Dentistry In El Paso Tx Sun City Dental El Paso Tx

O T Bassett Tower In El Paso Texas The Portal To Texas History

Veneers Celebrity Before And After

Cost Of Invisalign Braces Sunridge Dental

Cosmetic Dentistry El Paso Tx Cosmetic Dental Surgery And Clinic

Porcelain Veneers El Paso Tx Peak Family Dental

Cosmetic Dentistry El Paso Tx Pebble Hills Dental Care

World Free Ads Free Classifieds Dental Veneers El Paso Texas

Services Celebrity Smiles East El Paso Tx Dentist

Dentist El Paso Tx Cosmetic Dentistry

10724 Rhyolite Dr El Paso Tx 79924 2 Bed 1 Bath Single Family

Sun City Dental Dentist El Paso Tx

Stone Veneer Supplier In El Paso For Indoor Outdoor Applications

Natural Stone Flooring In El Paso From Casa Carpet Tile Wood

Family Dentist In El Paso Texas Caribbean Dental

3 Best Cosmetic Dentists In El Paso Tx Expert Recommendations

7036 San Marino Dr El Paso Tx 79912 Realtor Com

Veneers Lumineers Dentist

11997 Kings Crest Drive El Paso Tx 79936 Compass

Dentist Office Serving El Paso Juarez Nucleo Dental

Porcelain Veneers El Paso Tx Dental Veneers

Cosmetic Dentistry El Paso Restorative Dentistry El Paso Implant

2020 Amy Sue Drive 1 4 El Paso Tx Cornerstone Realty El Paso

10335 Suez Drive El Paso Tx 79925 Har Com

4744 Loma De Color Dr El Paso Tx 79934 Mls 821544 Zillow

Veneers Specialist El Paso Tx Mehrnoosh Darj Dds General

Cameron Dallas Veneers

Stone Veneer Supplier In El Paso For Indoor Outdoor Applications

Slate Stone Veneer El Paso Texas Ef Building Materials Inc

6444 Upper Valley Rd El Paso Tx 79932 Realtor Com

Porcelain Veneers Tierra Este Family Dentistry

Dental Implants El Paso Tx Redd Road Family Dental

Pnc7dsatntyuam

11709 Gwen Evans Ln El Paso Tx 79936 3 Bed 2 Bath Single


This is a video Veneers el paso tx may be you like for reference.


Thank you for visiting my website. I hope this content give you inspiration.


Posting Komentar untuk "Veneers El Paso Tx"